
Raion Sabo, DDS
Prosthodontics Resident
My prosthodontics training allows me to provide complex comprehensive dental care which includes: multidisciplinary oral disease management, full mouth reconstruction, as well as cosmetic and implant dentistry. I strive to provide pain-free, long-lasting, and individualized dental solutions that are exceptional in both functionality and esthetics. Nothing is more satisfying to me than restoring comfort, confidence, and maintainable oral health to my patients. It is my goal to give you the smile that you want and deserve.
Smile Services
Custom designed to give you the smile you desire

Implant Full Mouth Rehabilitation
With advanced implant dentistry, our patients who have lost their natural teeth now get a second chance to have the beautiful, functional smile that they once had or always wanted.
Exceptional Denture Rehabilitations
Our premium quality removable prostheses provide patients with a quick, affordable, and esthetically beautiful replacement of unsalvageable and/or missing teeth.


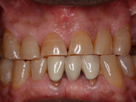
Restoration of Severely Worn Teeth
Using multidisciplinary treatment, patients with severely worn existing teeth can be saved and reconstructed and missing teeth can often be replaced with implant restorations. This reconstruction was achieved using veneers, crowns, and dental implants to create a beautiful, harmonious smile.
Custom Same Day Temporaries
During the treatment phase, our patients are restored with temporary restorations that look and feel just like their final reconstructed teeth. It is during this phase that we customize the shape, color, and function of the restorations based on our patients feedback. This ensures that our patients get the unique, individualized smile that they desire.


Exceptional Collaboration with Laboratory Technicians and Dental Ceramists
Dr. Sabo's has extensive experience with fabrication techniques including:
Ceramics
Digital Design
Computer Automated Manufacturing
Metal casting
Custom staining
Construction with dental acrylics
This knowledge helps to streamline communication between the dental care team and laboratory technicians. This expert collaboration reduces lab turn around time and optimizes the esthetic potential of our restorations.
State of The Art Technology
Dr. Sabo's experience with the newest advances in dental technology helps the patient care process become more comfortable, predictable, and more efficient than ever. Through integration of traditional concepts and modern technology this combination brings the future of dentistry to our patients.


Evidence-Based Dentistry
Dr. Sabo makes a concerted effort to stay current on developments in dental research and literature in order to ensure that his treatment decisions, dental material selections, and surgical/restorative techniques are informed by scientific evidence. This exhaustive effort is to provide our patients with the most predictable results possible.




Proudly Introducing... Raion Sabo, DDS
Current Chief Prosthodontics Resident at West Los Angeles VA Medical Center
Dr. Sabo is currently finishing up his 3-year prosthodontics residency at West Los Angeles Veterans Affairs Medical Center and plans to enter private practice starting July, 2020. Upon completion of his residency, Dr. Sabo plans to challenge the ABP Prosthodontics Board Examination. He strives to be a life-long learner and to always be improving in all aspects of his life. Outside of dentistry, Dr. Sabo enjoys spending time with his family, pets, and loved ones, traveling, exploring the outdoors, fitness, arts and crafts, and binge watching TV shows and new movies.  Dr. Sabo also enjoys teaching and forming new connections with fellow dentists and those interested in dentistry. Please feel free to contact Dr. Sabo if you are interested in learning more or collaborating. You can also stay up to date with Dr. Sabo's Social Media @calraion_DDS on Instagram.

"A simple smile. That's the start of opening your heart and being compassionate to others."











